PRESENTACIÓN DE CASO

 

Absceso de glándula de Skene en recién nacida

 

Skene gland abscess in a newborn girl

 

Leidelen Esquivel Sosa,I Neicy Hernandez Fernandez,II Magda Blazquez Casanova.III
IEspecialista de I grado en MGI e Imagenología. Máster en Atención integral al niño. Profesor Auxiliar. Investigador Agregado. Hospital Pediátrico Universitario “José Luis Miranda”. Santa Clara, Cuba. Correo electrónico: leidelen@infomed.sld.cu
IIEspecialista de II grado en Cirugía Pediátrica. Máster en Atención integral al niño. Profesor Auxiliar. Hospital Pediátrico Universitario “José Luis Miranda”. Santa Clara, Cuba.
IIIEspecialista de II grado en Cirugía Pediátrica. Máster en Atención integral al niño. Profesor Consultante. Hospital Pediátrico Universitario “José Luis Miranda”. Santa Clara, Cuba.

 

 


RESUMEN

Los quistes de las glándulas de Skene constituyen una entidad infrecuente, reportándose menos de 50 casos en la literatura. Frecuentemente pasan desapercibidos, a no ser que infectan u obstruyen, dando lugar a Skenitis. Se presenta el siguiente caso con el objetivo de demostrar la importancia del ultrasonido en masas interlabiales de la recién nacida pues permite determinar características sonográficas en quísticas o sólidas y realizar un adecuado tratamiento quirúrgico. El caso clínico corresponde a una recién nacida femenina que al momento de su nacimiento se detecta una masa de color blanquecino, con algunos vasos visibles, interlabial, que protruía a través del introito vaginal. Se realiza ultrasonido, se constata la presencia de una imagen quística. Se interviene quirúrgicamente recibiendo diagnóstico histológico de quiste abscedado de una glándula de Skene. Se concluye que resulta útil la realización del ultrasonido en masas interlabiales del neonato para determinar tipo tratamiento.

Palabras clave: quistes de glándulas de Skene, skenitis, ultrasonido en masas interlabiales

Descriptores: quistes; ultrasonografía; recién nacido; femenino;


ABSTRACT

Cysts of Skene glands constitute an unfrequented entity, being reported in less than 50 cases in the literature. They frequently happen unobserved, unless they infect or obstruct, originating Skenitis. The following case as presented with the objective to show the importance of ultrasounds in inter labial masses of the newborn girl because it allows to determine ultrasonography characteristics in cystic and solid masses and carry out an adequate surgical treatment. The clinical case corresponds to a female newborn that in the moment when she was born, a whitish mass was detected with some visible inter labial vessels, that protruded through the vaginal introitus. An ultrasound was performed, and the presence of a cystic image was verified. She was operated and the histologic diagnosis was an abscessed cyst of the Skene gland. To conclude it can be said that the performance of an ultrasound in interlabial masses of newborns is useful to determine the type of treatment.

Key words: Skene gland cysts, skenitis, ultrasound in interlabial masses

Descriptors: cysts; ultrasonography; infant, newborn; female;


 

 

INTRODUCCION

En 1672 Reinier de Graaf describió la próstata femenina, luego Alexander Johnston Chalmers Skene, un ginecólogo escocés, describió de manera exhaustiva dichas glándulas parauretrales en 1892, de manera tal que a partir de esta fecha se conocerían con el epónimo de glándulas de Skene.1

También son conocidas como glándulas periuretrales o parauretrales femeninas. Son unas glándulas de pequeño tamaño que se localizan en la cúpula de la vagina, alrededor del borde ínfero distal de la uretra. Normalmente, pasan desapercibidas a no ser que ocurra una infección o se obstruyan y aumenten de volumen.2 Las mismas drenan en el borde externo de la uretra femenina y son las encargadas de la lubricación de la uretra distal.3

Los quistes a partir de las glándulas de Skene constituyen una enfermedad infrecuente a cualquier edad siendo excepcionales en la recién nacida, reportándose menos de 50 casos en la literatura mundial. Su incidencia se reporta en cerca de 1 en 7000 nacimientos vivos femeninos 4 y aunque pueden aparecer en ocasiones desde la etapa de recién nacidas pasan en muchas ocasiones inadvertidas, ya que disminuyen de tamaño en las 4 primeras semanas.  Al ser hormono dependientes suelen encontrarse hipertrofiadas durante el embarazo y atrofiadas en la menopausia; su afectación se presenta con mayor frecuencia entre los 25 y los 34 años de edad y son secundarias a la obstrucción de su conducto o a la infección de la glándula a lo que se conoce como Skenitis.5

La etiopatogenia en la recién nacida es desconocida, se piensa puede ser debido al paso de estrógenos de la madre al neonato, que espesa las secreciones y provoca la obstrucción o por una falla en la reabsorción del epitelio.4 Sin embargo, la obstrucción uretral y la infección son raras en este grupo de edad.6

Las imágenes son un buen método para complementar la clínica, aunque el diagnóstico de certeza se obtiene con la histología. El ultrasonido es utilizado para definir la consistencia de la lesión en quística o sólida. Muchos autores utilizan la resonancia magnética o la tomografía como medio para realizar el diagnóstico diferencial.3,7

Se presenta el siguiente caso con el objetivo de demostrar la importancia del ultrasonido en masas interlabiales de la recién nacida.


PRESENTACIÓN DE CASO

Se trata de una recién nacida femenina, raza blanca, producto de parto eutócico a término, con un peso al nacer de 4200 gr, apgar8/9.

Al momento de su nacimiento en el examen médico se detecta una masa de color blanquecino, nacarado, con algunos vasos visibles en su pared, interlabial, que protruía a través del introito vaginal, sin otro hallazgo de interés.
Fue interconsultada con el servicio de cirugía neonatal a las dos horas de vida, que sugiere la realización de ultrasonido con el objetivo de determinar naturaleza de la lesión y su asociación a otras enfermedades.

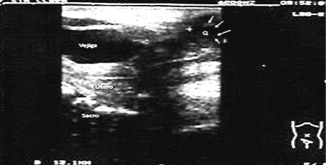
El ultrasonido abdominal resulta normal, el ultrasonido ginecológico no demuestra alteraciones uterinas descartándose la posibilidad de hidrometrocolpos; observándose hacia la región más distal una imagen ecolúcida, quística, bien circunscrita que mide 11.5 x 11.7 mm. (Figuras 1 y 2)


Fig. 1 Ultrasonido suprapúbico con transductor de 8 MZ visualizándose vejiga, vagina (vag), útero y la imagen quística distal (Q)



Fig. 2 Ultrasonido suprapúbico con transductor de 8 MZ visualizándose vejiga, útero, sacro y la imagen quística distal (Q-con flechas blancas).

Se realiza ultrasonido transperineal, corroborándose la existencia de imagen ecolúcida, de contornos bien definidos, con presencia de ecos finos en su interior, ubicándose anterior a la vagina, en íntimo contacto con la uretra en su porción más distal (Figura 3).


Fig. 3 Imagen dual de ultrasonido con corte transperineal (A) y suprapúbico (B) con transductor de 8 MZ visualizándose la imagen quística parauretral(Q).

Es valorada nuevamente por cirujanos pediatras los cuales están de acuerdo con la posibilidad de que esté en relación con glándulas periuretrales dada su ubicación y aspecto.

Dado que apareció escasa supuración de color blanquecino espesa se toma muestra para cultivo y se aísla un Staphylococcus coagulasa negativo. Se instaura antibioticoterapia preoperatoria. Se anuncia para ser explorado quirúrgicamente lográndose colocar sonda de Foley e independizar la uretra de la masa. Se explora la cavidad vaginal completamente independiente de la masa tumoral la cual se logra enuclear en su totalidad. El resultado anatomopatológico informa quiste abscedado de una glándula de Skene.

Siete días después, luego de culminar tratamiento con vancomicina es egresada dada la evolución favorable.

 

DISCUSIÓN

Las glándulas de Skene, son conocidas también como glándulas periuretrales que se sitúan en los laterales de la uretra distal, entre las 3 y las 9 horas del huso horario (lateral al meato uretral externo), e inferior a la sínfisis del pubis. Su secreción va a la uretra distal drenando en el borde externo de la uretra femenina Se consideran el equivalente a la glándula prostática masculina, siendo las principales productoras de Antígeno Sérico Prostático (PSA por sus siglas en inglés) en mujeres y las responsables de la eyaculación femenina.3

El quiste parauretral será evidente por su aspecto: una masa blanco-amarillenta brillante, tensa y protuberante que desplaza al meato en forma excéntrica.y reduce el tamaño de la apertura de la uretra. Otros síntomas incluyen disuria, dispareunia y síntomas obstructivos bajos. Debe tomarse en cuenta el color, la forma, el tamaño de la masa, su relación con el meato uretral y el himen, y si afecta o no la emisión de orina.4,6-8

Es importante realizar un diagnóstico diferencial de otras masas de la pared anterior de la vagina o interlabiales de forma general como ureterocele ectópico, divertículo uretral, quiste del conducto de Gardner, quiste de inclusión epidérmica, los Mullerianos de origen embrionario, quiste endometriósico y con tumores uretrales y parauretrales, se incluyen otras que pueden aparentar ser simples quistes. Entre estos están el prolapso de uretra, vagina o útero, el hidrometrocolpos asociado con himen imperforado y el rabdomiosarcoma botrioides. No todas las lesiones visualizadas en la vagina son provenientes de esta, también existen lesiones que emergen de la uretra o parauretral y de otros tejidos circundantes que se presentan de manera similar. Por esta razón no es fácil realizar un diagnóstico etiológico de certeza.8,9

El diagnóstico diferencial de las tumoraciones interlabiales es importante, tanto para el enfoque terapéutico cuanto para el seguimiento. En neonatos el tratamiento puede ser expectante ya que estos quistes tienden a disminuir de tamaño las cuatro primeras semanas de vida haciéndose imperceptibles llegando a la resolución espontánea,8 no fue posible en este caso pues se acompañaba de una infección sobreañadida.

Coincidiendo con la literatura revisada se considera que el examen imagenológico utilizado con mayor facilidad es el ultrasonido, por su inocuidad y fácil acceso; además, define con precisión el tipo de lesión en quística o sólida. A pesar que algunos autores utilizan la resonancia magnética y la tomografía axial computarizada como método diagnóstico para diferenciar entre las posibles causas son estudios  que a criterio de los autores se reservan como segunda línea debido a las radiaciones a las que se exponen en los estudios tomográficos y a la necesidad de sedación durante la resonancia. En Resonancia Magnética se observará hiperintenso en T2 siempre. Hipo/Isointenso en T1 en función de detritus interno, material proteináceo, sangre. Si existe skenitis se define un realce y engrosamiento de la pared.3,7,10

El ultrasonido pélvico es un estudio útil para determinar alteraciones genitourinarias en la etapa neonatal. La utilización de la ecografía transperineal con transductor de partes blandas permite con mayor definición determinar las características sonográficas de las masas interlabiales en quísticas y sólidas, su relación con la vagina y la uretra., lo que permite decidir el tratamiento quirúrgico, que se reserva solo para quistes complicados, estando indicada la marsupialización, con buenos resultados publicados.

Se concluye que resulta útil la realización del ultrasonido en masas interlabiales del neonato para determinar tipo tratamiento

 

REFERENCIAS BIBLIOGRÁFICAS

  1. Centonze A, Salerno D, Capillo S, Mazzei A, Stranieri G. Skene gland cyst in post puberal girl. Journal of Pediatric Surgery Case Reports [Internet]. 2019 [citado 20 May 2019];42. Disponible en: https://www.sciencedirect.com/science/article/pii/S2213576618303439
  2. Campohermoso Rodríguez OF, HeverPlati TM, Tarqui Segura EE, Valle Estrada N, Torrez Mayta E. Angiofibroma celular de vagina. Cuad Hosp Clín [Internet]. 2016 [citado 20 May 2019];57(2). Disponible en: http://www.scielo.org.bo/scielo.php?script=sci_arttext&pid=S1652-67762016000200007&lng=es.
  3. Yllera Contreras E, Vidal Trueba H, Lastra Garcia-Barón P, Fernández Flórez A, Torres Diez E, López Rasines G, et al. Pitfalls de patología uretral femenina. SERAM [Internet]. 2014 [citado 20 May 2019]. Disponible en: https://posterng.netkey.at/esr/viewing/index.php?module=viewing_poster&task=viewsection&pi=124313&ti=411682&si=1419&searchkey=
  4. Bautista-Gómez E, Morales-García V, Flores-Romero AL, Santos-Pérez U. Quiste de Skene: reporte de un caso y revisión de la bibliografía. Ginecol Obstet Mex [Internet]. 2013 [citado 20 May 2019];81. Disponible en: https://www.medigraphic.com/cgi-bin/new/resumen.cgi?IDARTICULO=46387
  5. López Fontana R, López Fontana G, López Laur JD. Quiste de la glándula de Skene: presentación de un caso y revisión de la literatura. Rev Arg de Urol [Internet]. 2013 [citado 20 May 2019];78(Suplemento 1). Disponible en: https://www.revistasau.org/index.php/revista/article/download/3832/3384
  6. Soria Fernández DR, González Pérez A, JaspersenGastelum J.  Quistes parauretrales. Reporte de 19 casos y revisión de la literatura. Revista Mexicana de Urología [Internet]. 2005 [citado 20 May 2019];65(1). Disponible en: https://www.medigraphic.com/pdfs/uro/ur-2005/ur051i.pdf
  7. Roy S, Dwarkasing Sylvia I, Verschuuren Geert JLH, Leenders Maarten GJ, Thomeer Gerardus R, Dohle Gabriel P. Chronic lower urinary tract symptoms in women: classification of abnormalities and value of dedicated MRI for diagnosis. American Journal of Roentgenology [Internet]. 2014 [citado 20 May 2019];202(1). Disponible en: https://www.ajronline.org/doi/full/10.2214/AJR.13.10681
  8. Esra Yilmaz A, Andiran F, Sarifakioglu E, Aktepe Keskin E, Tufan N. Recién nacida con tumoración genital interlabial de resolución espontánea: caso clínico. Arch Argent Pediatr. 2013;111(1).
  9. Miño Barrera A, Rodríguez Herrera J. Quiste de conducto de Skene en niñas: A propósito de 2 casos clínicos. Rev Chil Pediatr [Internet]. 2014 Oct [citado 7 Ago 2019 ];85(5). Disponible en: https://scielo.conicyt.cl/scielo.php?script=sci_arttext&pid=S0370-41062014000500009&lng=es
  10. Agarwal MD, Resnick EL, Ni Mhuircheartaigh J, Mortele KJ, MR. Imaging of the female perineum clitoris, labia, and introitus. Magn reson imaging. Clin N Am. 2017;25(3):435-455.

 

 

Recibido: 12/8/2019
Aprobado: 15/9/2019

 

 

MSc. Leidelen Esquivel Sosa. Hospital Pediátrico Universitario “José Luis Miranda”. Santa Clara, Cuba. Correo electrónico: leidelen@infomed.sld.cu

Contribución de autoría

Todos los autores participaron en la elaboración del artículo y aprobaron el texto final.

Copyright Revista Electrónica Medimay. Este artículo se encuentra protegido con una licencia de Creative Commons Reconocimiento 4.0 Internacional, los lectores pueden realizar copias y distribución de los contenidos, siempre que mantengan el reconocimiento de sus autores.