Indice Anterior Siguiente
Revista de Ciencias Médicas La Habana 2014; 20(2)

 

PRESENTACIÓN DE CASO

 

Vólvulo gástrico. Presentación de un caso

 

Gastric volvulus. A case presentation

 

Alina Jaquelín Vallejo Ramírez,I Juan Carlos Cañizares Fuentes,II Osvaldo Barrios Viera,III Noel Batista RodríguezIV

IEspecialista I grado en Medicina General Integral y de I grado en Imagenología. Profesor Instructor. Hospital Universitario “Leopoldito Martínez”. San José de las Lajas, Mayabeque, Cuba. E-mail: alinajaquelin@infomed.sld.cu
IIEspecialista I grado en Medicina General Integral y de I grado en Imagenología. Hospital Universitario “Leopoldito Martínez”. San José de las Lajas, Mayabeque, Cuba. E-mail: juancca@infomed.sld.cu
IIIEspecialista II grado en Cirugía General. Profesor Auxiliar. Máster en Urgencias Médicas. Hospital Universitario “Leopoldito Martínez”. San José de las Lajas, Mayabeque, Cuba. E-mail: barriosviera@infomed.sld.cu
IVEspecialista I grado en Anatomía Patológica. Profesor Auxiliar. Máster. en Enfermedades Infecciosas. Hospital Universitario “Leopoldito Martínez”. San José de las Lajas, Mayabeque, Cuba. E-mail: noelbr@infomed.sld.cu

 
RESUMEN
El vólvulo gástrico es una entidad poco frecuente. Se realizó por primera vez, en el Hospital Universitario “Leopoldito Martínez” el diagnóstico radiográfico de esta entidad, en un paciente con antecedentes de trastornos dispépticos y que comienzó con vómitos incontrolables, distención abdominal y epigastralgias, la confirmación diagnóstica se logró en el acto quirúrgico, detectándose que la causa era una brida, aunque en el estudio histopatológico el paciente era portador de un de carcinoma gástrico difuso tipo linitis plástica.

Palabras clave: vólvulo gástrico mixto, mesentérico-axial, órgano-axial, vómitos, distención abdominal

 

ABSTRACT

Gastric volvulus is a rare entity. It is performed for the first time at this center a radiographic diagnosis of this entity in a patient with a history of dyspeptic disorders beginning with uncontrollable vomiting, abdominal distension and epigastric pain, the diagnostic confirmation was achieved during surgery, detecting that the cause was a bridle, although on histopathologic study the patient was found to have a diffuse gastric carcinoma type linitis plastica.

Key words: mixed gastric volvulus, mesenteric-axial, organo-axial, vomits, abdominal distension

 

INTRODUCCIÓN

El vólvulo gástrico ocurre cuando el estómago gira sobre su mismo eje. Se han descrito dos tipos: el órgano axial (60 % de los casos) cuando el estómago rota sobre el eje longitudinal que pasa por la unión esófago gástrica y la gastropilórica; y el mesentérico-axial (29 % de los casos), en el cual el estómago rota a través de su eje menor desplazándose la curvatura menor sobre la curvatura mayor. En el tipo mixto (2 % de los casos) se produce una rotación gástrica sobre ambos ejes. Hasta el 10% quedan sin ser clasificados.1-3
Este evento puede ser transitorio cursando sin ningún síntoma, en los casos de volvulación incompleta, o llevar a una obstrucción o hasta isquemia y necrosis, en los vólvulos completos.2,4

Los vólvulos gástricos son poco frecuentes, del 15 al 20 % de los casos corresponden a pacientes pediátricos. En la literatura mundial se han informado alrededor de 100 casos en los últimos 30 años.2-6

 

PRESENTACIÓN DEL CASO

Paciente de 43 años de edad, masculino, de la raza blanca, con antecedentes de salud aparente, se registran trastornos dispépticos no tratados de varios años de evolución. Acude al hospital por no tolerar la vía oral, por vómitos incontrolables, distensión abdominal y epigastralgia.

En la exploración física mantenía un aceptable estado general, afebril y se constata distención abdominal, a la palpación el abdomen era doloroso de forma difusa, sin reacción peritoneal, la percusión era timpánica en hemiabdomen superior y los ruidos hidroaéreos eran normales.

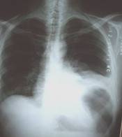
Se le realiza ultrasonido abdominal encontrándose gran dilatación gástrica con abundante contenido líquido en su interior. En la radiografía de tórax posteroanterior (figura 1) y en la simple de abdomen se observaba una gran distensión gástrica con un nivel hidroaéreo amplio que ocupaba todo hipocondrio izquierdo elevando significativamente el hemidiafragma.

 

Descripción: 100_0461


Fig. 1: Rayos X de tórax y abdomen superior PA, marcador a la izquierda, muestra elevación del hemidiafragma izquierdo con gran dilatación gástrica y nivel hidroaéreo amplio.

Se ingresa manteniéndose con sonda nasogástrica permanente por la gran retención de liquido conectada a aspiración continua a través de la cual drenaba abundante cantidad de gas y entre 2,5-3,5 litros de contenido gástrico diario, con lo que se logró alivio de la sintomatología.

Al cuarto día del ingreso por persistencia de los síntomas y deterioro del estado general del paciente se practicó estudio radiográfico de estomago con contraste iodado hidrosoluble (figura 2) que mostró una volvulación gástrica mesentérico-axial  incompleta.

 

Descripción: 100_0470


Fig. 2. Estudio radiográfico de estomago con contraste iodado hidrosoluble  que mostró una volvulación gástrica mesentérico-axial incompleta.

El estudio radiográfico gástrico muestra la entrada de la sonda nasogástrica al cardias en el contorno inferior de la proyección del estómago, definiéndose en la vista de Hampton los pliegues irregulares a este nivel propios del fundus, lo que indica rotación en el eje mesenteroaxial, permitiendo el paso de contraste que da aspecto en reloj de arena, propio de la volvulación incompleta del estómago.

Además se observa hacia la parte superior del estómago el contorno de un asa, donde el aire hace función de contraste, en relación con el duodeno, por lo tanto estamos en presencia de una volvulación mixta. El paciente fue intervenido quirúrgicamente detectándose que la causa de la volvulación era una brida adherida al fundus gástrico que lo unía a asas yeyunales, con un mega estómago que presentaba hipotonía y adelgazamiento de la pared.

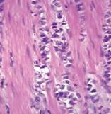
Existía un área de necrosis en curvatura mayor que se le realizó exéresis para examen histopatológico revelando carcinoma gástrico difuso tipo linitis plástica (figura 3 y figura 4).

 

       


Fig. 3 y Fig 4. Carcinoma gástrico difuso tipo linitis plástica.

Estudio histopatológico: Carcinoma gástrico difuso tipo linitis plástica. Micro: células discohesivas que infiltran a través de la pared gástrica como células individuales embebidas en un estroma desmoplástico.

 

DISCUSIÓN

El vólvulo gástrico es una entidad poco frecuente cuya diagnóstico hay que sospechar ante la evolución tórpida de un cuadro de tipo digestivo. El substrato clínico de los mismos puede ser como en el presente caso una tumoración maligna.

Los estudios imagenológicos permitieron el diagnóstico, que fue confirmado durante el acto quirúrgico. En el estómago del paciente asentaba un carcinoma gástrico difuso tipo linitis plástica.

 

REFERENCIAS BIBLIOGRÁFICAS

  1. Abraldes A, Rodríguez Ramos C, García Trujillo I, Fernández Collado JJ, Ramírez F, González V. Vólvulo gástrico agudo de tipo mixto y localización intratorácica. Rev Esp Enferm Dig [Internet]. 2007 Abr [citado  20 Sept 2013];99(4). Disponible en: http://scielo.isciii.es/scielo.php?script=sci_arttext&pid=S1130-01082007000400008&lng=es
  2. Trigoso Mori F, Agramonte Caballero J, Huaco Cateriano J. Vólvulo gástrico. Paediatrica [Internet]. 2002 [citado  20 Sept 2013];4(3). Disponible en: http://sisbib.unmsm.edu.pe/bvrevistas/paediatrica/v04_n3/v%C3%B3lvulo_gastrico.htm
  3. Siu WT, Yau KK, Luk YW, Law BKB, Li MKW. Endoscopic reduction of gastric volvulus associated with paraesophageal hernia. Endoscopy. 2005;37:787.
  4. Kotobi H, Auber F, Otta E, Meyer N, Audry G, Hélardot PG. Acute mesenteroaxial gastric volvulus and cogenital diaphragmatic hernia. Pediatr Surg Int. 2005;21:674-6.
  5. Ianelli A, Fabiani P, Karimjdee BS, Habre J, López S, Gugenheim J. Laparoscopic repair of intrathoracic mesenterioaxial volvulus of the stomach in an adult: Report of a case. Surg Today. 2003;33:761-3.
  6. Naim H.J, Smith R, Gorecki PJ. Emergent laparoscopic reduction of acute gastric volvulus with anterior gastropexy. Surg Laparosc Endosc Percutan Tech. 2003;13:389-91.

 

Recibido: 11 de marzo de 2014.
Aprobado: 30 de abril de 2014.

 

Dra. Alina Jaquelín Vallejo Ramírez. Especialista I grado en Medicina General Integral y de I grado en Imagenología. Profesor Instructor. Hospital Universitario “Leopoldito Martínez”. San José de las Lajas, Mayabeque, Cuba. E-mail: alinajaquelin@infomed.sld.cu

 

Indice Anterior Siguiente